ABŞ alimləri öləndən sonra insan səhhətində baş verən hadisələrlə bağlı araşdırma aparıb.
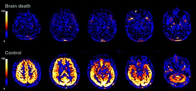
Elm adamı San Parniya iddia edib ki, insan həyatını itirəndən sonra onun beyni bir neçə dəqiqə fəaliyyət göstərir. Həmin insan hətta öldüyünü də dərk edir. Araşdırmalar ürəyi dayanandan sonra yenidən həyata qaytarılan xəstələr üzərində aparılıb.
Həmin insanların sözlərinə görə, onlar ətrafda danışılanları eşidib və başa düşüb. Həkimlər bildirir ki, ölümdən dərhal sonra beynin görmə və digər önəmli funksiyaları isə dərhal dayanır./metbuat




Elm adamı San Parniya iddia edib ki, insan həyatını itirəndən sonra onun beyni bir neçə dəqiqə fəaliyyət göstərir. Həmin insan hətta öldüyünü də dərk edir. Araşdırmalar ürəyi dayanandan sonra yenidən həyata qaytarılan xəstələr üzərində aparılıb.
Həmin insanların sözlərinə görə, onlar ətrafda danışılanları eşidib və başa düşüb. Həkimlər bildirir ki, ölümdən dərhal sonra beynin görmə və digər önəmli funksiyaları isə dərhal dayanır./metbuat




7News.Az








