Haqqımızda
Reklam
Əlaqə
AZ
RU
RU
AKTUAL
İQTİSADİYYAT
TEXNOLOGİYA
MƏDƏNİYYƏT
SİYASƏT
DÜNYA
SOSİAL
HADİSƏ
PEŞƏ ETİKASI
DİGƏR
MARAQLI
TƏHLİL
İdman
DİASPOR
ƏDƏBİYYAT
MÜSAHİBƏ
SIĞORTA
MARAQLI
TƏHLİL
İdman
DİASPOR
ƏDƏBİYYAT
MÜSAHİBƏ
SIĞORTA
DÜNYA
Kanada meşə yanğınları ABŞ havasını pozur
0
0
76
tüstüsü
yorka
çatıb
yanğınlarının
meşə
xəbər
verir
kanadada
7news
Husilər İsrailə ballistik raket zərbəsi endirdi
0
0
87
olmaqla
daxil
limanı
hədəfə
hücum
açıqlayıb
etdiklərini
qurion
İsraildə
verir
xəbər
yəmən
ordusunun
yəhya
sözçüsü
7news
Mərakeşdən İspaniyaya 84 nəfər üzərək gedib
0
0
75
avropa
birliyinə
əksəriyyəti
miqrantların
alınıb
çatsa
seuta
istəyir
kömək
madriddən
rəsmiləri
lentə
edərkən
mərakeşdən
İspaniyanın
miqrant
verir
xəbər
Şimali
afrika
Avtomobil rallisi faciəsi:
2 tamaşaçı həlak olub
0
0
64
tamaşaçının
qubernatorluq
bildirilir
öldüyü
üçüncü
ağır
açıqlayıb
aparıldığını
xəstəxanaya
yaralandığını
nəticəsində
çıxması
mərkəzində
fransanın
verir
xəbər
avtomobil
yürüşü
yoldan
avtomobilin
Covid-19 peyvəndi gözləniləndən daha az insan həyatını xilas etdi
0
0
63
yalnız
üçün
ölüm
qarşısı
alınıb
dozası
vaksin
xəbər
verir
araşdırma
göstərir
7news
NASA-da böhran:
4000 işçi istefa verir
0
0
53
qüvvəsi
düşə
bilər
işçi
agentliyi
xəbər
verir
kosmik
7news
Kilsədə dindarlara hücum:
Ən azı 38 ölü
0
0
56
demokratik
ölənlərin
xəbər
sayının
səlahiyyətlilər
sayı
yüksəldiyini
artıb
yaralandığını
olmadığını
bildirib
nəfərdən
neçə
sonra
nəfərin
kilsəyə
İturi
əyalətindəki
respublikasının
konqo
Qəzzada ölənlərin sayı 60 minə yaxınlaşır
0
0
50
yüksəlib
nəfərə
ərzində
nəfər
ölüb
sayı
ölənlərin
xəbər
verir
qəzza
zolağında
7news
150.000 mülki şəxs Sveydadan təxliyə edildi
0
0
53
edildiyini
təxliyə
bölgədən
təhlükəsizlik
əməkdaşının
bildirib
olduğunu
həlak
sakinin
əyalətindən
suriya
verir
xəbər
hökumət
rəsmisi
sveyda
suriyanın
7news
Homsda 4,1 bal gücündə zəlzələ baş verib
0
0
51
gücündə
zəlzələ
verib
səhər
şəhərində
xəbər
verir
suriyanın
7news
Həddindən artıq istilər səbəbindən İraqın 7 vilayəti rəsmi tətil elan edib
0
0
60
tətil
rəsmi
bəzi
əyalətlərdə
qısaldılıb
saatları
səbəbindən
istilər
verir
xəbər
İraqın
vilayəti
artıq
həddindən
7news
Nigeriyada sərnişin qayığı batıb, 25 nəfər ölüb
0
0
47
çayda
qayığın
batması
nəticəsində
həlak
nəfər
daşıyan
sərnişin
verir
xəbər
nigeriyanın
niger
bazara
əyalətində
7news
ÜST-ün Covid-19 üzrə xüsusi nümayəndəsi David Nabarro vəfat edib
0
0
48
david
nabarro
yaşında
vəfat
nümayəndəsi
xüsusi
xəbər
verir
covid
üzrə
7news
Suriyada seçkilərin tarixi açıqlanıb
0
0
57
olacağı
daxil
nümayəndələrinin
əyalətin
məclisində
yerlərin
açıqlanıb
çatdırılacağı
sayının
hazırlaşır
keçirməyə
suriya
verir
xəbər
sentyabrda
administrasiya
seçkilərini
parlament
dövründə
7news
Qəzzaya ilk yardım maşınları gəlib
0
0
90
fasilə
humanitar
taktiki
ordusu
İsrail
dəhlizin
açıldığını
daxil
qəzzaya
maşınları
yardım
qınanıb
şəkildə
bilməyən
qəzzalıların
yemək
verir
xəbər
acınacaqlı
vəziyyəti
Almaniyada sərnişin qatarı relsdən çıxıb:
4 nəfər ölüb
0
0
35
nəfər
görə
məlumata
İlkin
qəza
nəticəsində
yaralanıb
ölüb
çıxıb
relsdən
almaniyanın
verir
xəbər
cənub
qərbində
qatarı
sərnişin
7news
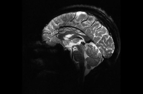
Alimlərdən yeni araşdırma:
Pandemiya beyin yaşlanmasını sürətləndirir
0
0
36
beyin
zamanı
hesabla
pandemiya
əvvəl
pandemiyadan
görə
beyninin
araşdırmaya
qocalma
insan
müqayisə
yaşlarını
hazırlayıblar
model
edilənlərin
sürəti
edilənlərlə
tədqiqatda
yalnız
Rusiyada azərbaycanlı blogerə qarşı 20 milyon rubl vergidən yayınma ittihamı irəli sürülüb
0
0
36
İstintaq
qarşı
irəli
rusiya
yayınma
ödəməkdən
vəsaitlərinin
vilayəti
sürülüb
ittiham
İdarəsinin
vergi
moskva
üzrə
olaraq
bloger
qiyabi
sübhan
komitəsinin
leqallaşdırılmasında
Türkiyədə meşə yanğınlarında üç könüllü ölüb
0
0
34
yanğını
meşə
əlaqədar
altına
almaq
istiqamətində
fəaliyyət
gecə
nəzarət
yanğınsöndürən
şəxsi
göstərib
maşın
heyət
onlara
məhəllənin
kəndin
sakinləri
təxliyə
edilib
"Crocus City Hall"dakı terrorçuların hücuma necə hazırlaşdıqları məlum oldu
0
0
44
konsert
fariduni
sonra
terror
nəfər
crocus
materiallarında
işin
martın
həmçinin
mirzoyev
zalına
fayzov
olunub
verib
dörd
barədə
məlumatlara
başlayıb
kompleksdə
Pakistanda musson yağışları nəticəsində 279 nəfər həlak olub
0
0
34
nəfər
yaralanıb
insan
xayber
Ölkə
paxtunxvada
ölüb
əyaləti
alınıb
qeydə
ölü
yaralı
qərb
Şimal
hökuməti
təhlükəsizliyini
endirmək
minimuma
üçün
tədbirlər
Trampın rüsum siyasətindən qlobal iqtisadiyyatın itkiləri açıqlanıb
0
0
23
rüsumlar
qədər
bilər
dollar
bloomberg
economics
ticarət
yüksək
milyard
verir
trampın
qiymətləndirirlər
haqqında
olaraq
qarşı
ildəki
daşıyıcıları
saziş
artacaq
göstərici
Husilər İsraillə işləyən bütün gəmiləri hədəfə alacaq
0
0
26
silahlı
gəmilərinə
qüvvələrin
zərbələr
bildirib
saria
işləyən
bütün
limanları
İsrail
milli
dördüncü
mənsubiyyətindən
blokadasının
mərhələsinin
qərarına
başlamaq
keçirilməsinə
həyata
gəlib
Rəsmi:
Almaniyada qatar qəzasında üç nəfər ölüb, 50 nəfər yaralanıb
0
0
33
insan
barədə
məlumat
verib
qədər
qatar
xilasetmə
relsdən
hələ
çıxıb
lakin
rəsmi
qəzanın
səbəbləri
nəticəsində
fırtına
ərazidə
əvvəl
ehtimal
edilir
End of content
No more pages to load
İlk
214
215
216
217
218
Son