RU
Hər gün qazlı su içən kişinin dişləri bu hala düşdü - FOTO
19:20
544

Hər gün qazlı su içən kişinin dişləri bu hala düşdü - FOTO

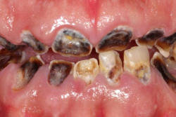
Gündə 6 litrə yaxın qazlı içki içən kişinin dişləri tamamilə çürüyüb.
32 yaşlı Mişel Şeridan adlı kişi 10 ildir bu halda yaşayır. Onun dişlərinin belə hala gəlməsinə səbəb isə qazlı içkiləri çox içməsidir.

Big.Az onun fotolarını təqdim edir:/big

Hər gün qazlı su içən kişinin dişləri bu hala düşdü - FOTO
Hər gün qazlı su içən kişinin dişləri bu hala düşdü - FOTO
Hər gün qazlı su içən kişinin dişləri bu hala düşdü - FOTO
Hər gün qazlı su içən kişinin dişləri bu hala düşdü - FOTO
7News.Az

BÖLMƏNİN DİGƏR XƏBƏRLƏRİ