RU
Gizli pnevmoniyanın ilk 6 əlaməti – Dərhal həkimə müraciət edin
13:30
750

Gizli pnevmoniyanın ilk 6 əlaməti – Dərhal həkimə müraciət edin

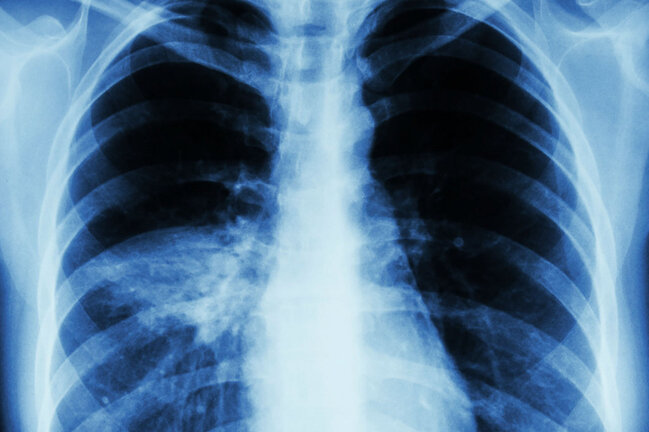
Əgər pnevmoniya ilk başda aşkar edilərsə, düzgün müalicə ilə qısa müddətə ram edilə bilər.
Hazırda koronavirus pandemiyası vəziyyətində yaşadığınız üçün, ağciyərlərlə bağlı istənilən kiçik simptoma diqqətli olmağınız lazımdır.

Medicina.az pnevmoniyanın ilk 6 əlamətini təqdim edir.

- Bədən hərarətinin qalxıb enməsi – Əgər 5 gün və daha artıq 37 dərəcədən yuxarı hərarət varsa, deməli, orqanizmdə güclü iltihabi proses var. Özünü müalicə ilə vaxt itirməyin

- Güclü əzginlik, yorulma, daima yatmaq istəyi – pnevmoniyanın ağırlığındandır. Son günlər bədənin soyuması, soyuq, buzlu nəsə qəbul etmək pnevmoniya yaradır

- Çox güclü öskürək, "it hürməsinə” bənzər səs. Bu zaman çay, siroplarla öskürəyi sakitləşdirməklə vaxt itirməyin.

- Təngnəfəslik, tənəffüsün ağırlaşması, tezləşməsi, kəsilməsi hissi. Xəstə daha tez-tez nəfəs alıb verir, sanki nəfəsdən doymur. Bu zaman ağciyərləri və kürəyi ağrıyır

- Ürək nəbzinin artması, sürətlənməsi, ürəkdə bir çox simptomlar da pnevmoniyanın əlamətləridir
 


7News.Az

BÖLMƏNİN DİGƏR XƏBƏRLƏRİ