RU
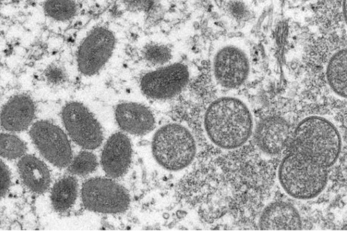
İspaniyada daha 120 nəfər meymunçiçəyinə nəfər yoluxub
02:00
376

İspaniyada daha 120 nəfər meymunçiçəyinə nəfər yoluxub

İspaniyada sutka ərzində meymunçiçəyinə azı 120 nəfər yoluxub.

7NEWS.Az-ın xəbərinə görə, bu barədə ölkənin Səhiyyə Nazirliyi məlumat yayıb.
"III Karlos Səhiyyə İnstitutu 120 nəfərin testinin müsbət nəticə verdiyini bildirir. Buna qədər ölkədə meymunçiçəyinə 98 yoluxma faktı qeydə alınıb” – deyə nazirliyin son məlumatında göstərilir.

Qonşu Portuqaliyada isə sutka ərzində 96 yoluxma qeydə alınıb.
 
 
7NEWS.Az

BÖLMƏNİN DİGƏR XƏBƏRLƏRİ