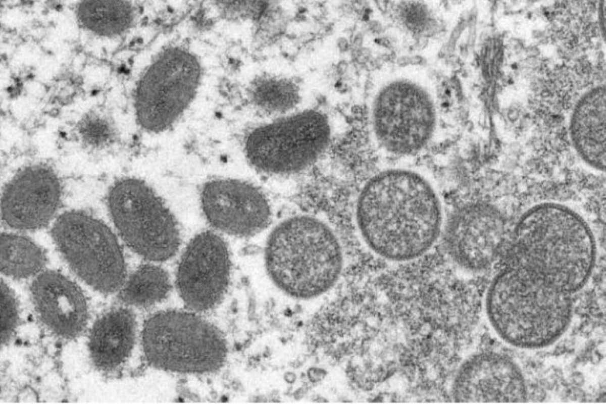
Bugünədək İtaliyada meymunçiçəyinə 20 yoluxma təsdiqlənib.
7NEWS.Az xəbər verir ki, bu barədə yerli televiziyaya müsahibəsində İtaliyanın səhiyyə naziri Pyerpaolo Sileri bildirib.
"Xəstəliyin inkubasiya dövrünün 2 həftə olduğunu nəzərə alsaq deyə bilərik ki yaxın günlərdə yeni yoluxanlar aşkara çıxacaq. Lakin meymunçiçəyinin yoluxma tempi koronavirusla müqayisə edilə bilməz. Hazırda İtaliyada 20 təsdiqlənmiş yoluxma var və biz yoluxma zəncirini aşkara çıxarmışıq” – deyə nazir qeyd edib.
7NEWS.Az








